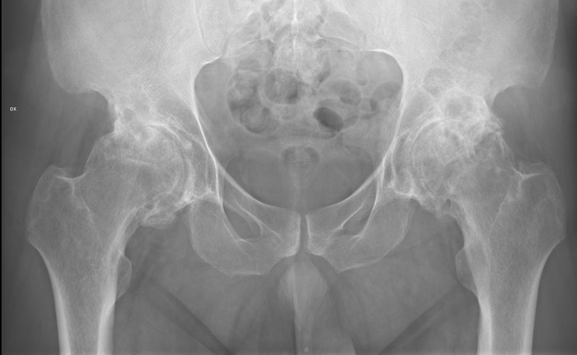
Artrosi anca, coxartrosi
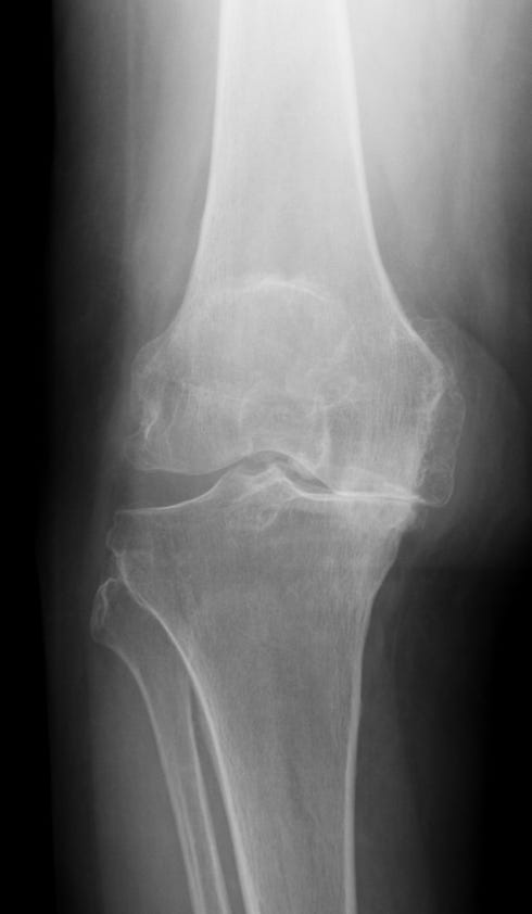
Artrosi ginocchio, gonartrosi

Mi occupo prevalentemente della patologia degenerativa (artrosi) delle articolazioni di anca e ginocchio. 

L’artrosi può essere il risultato, in individui predisposti geneticamente, della naturale usura cartilaginea dovuta all’invecchiamento o alla pratica di attività ad alto impatto. 

In altri casi può essere secondaria ad alcune condizioni cliniche, come pregresse fratture, patologie reumatiche, infezioni o particolari conformazioni anatomiche biomeccanicamente svantaggiose.


Il conflitto femoroacetabolare (FAI) consiste in un insieme di alterazioni anatomiche dell’acetabolo e/o della testa del femore, che, soprattutto in pazienti che svolgono alcune attività sportive, determina una sindrome dolorosa associata a un aumentato rischio di artrosi precoce.



Artrosi dell’anca

Artrosi del ginocchio

Complicanze delle protesi di anca

Complicanze delle protesi di ginocchio

Conflitto femoroacetabolare (FAI)